La peau marbrée chez l’adulte ou le bébé sur les jambes ou les bras est associée à diverses conditions de santé. Avec cet article, explorez les causes, les signes et les symptômes, de la marbrure.
Aussi, vous allez connaitre des traitements naturels et des remèdes maison pour traiter cette condition et quand il faut voir un médecin.
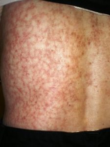
Qu’est-ce que la marbrure ou la peau marbrée (Bras, Jambes)?
La peau tachetée est également connue sous le nom de Livedo Reticularis ou dyschromie. Il s’agit d’une affection cutanée associée à des dentelles d’une couleur rose, violette ou bleue.
|
Cet article est révisé par un Docteur en Pharmacie Ce contenu est destiné uniquement à des fins d'information et d'éducation. S'il vous plait, veuillez consulter un médecin avant d'apporter des changements à votre alimentation ou de prendre des suppléments qui pourraient interférer avec vos médicaments. |
Cette condition est une décoloration de la peau qui peut apparaître sur les bras, les mains, les jambes, les épaules, le dos, le visage ou sur toutes les autres parties du corps.
Cette condition peut également apparaître sur la peau des bébés, des adolescents, et même des adultes. Cependant, il est commun chez les patients qui en souffrent d’avoir une cause sous-jacente telle qu’un problème cardiaque, des troubles rénaux, des maladies auto-immunes ou toute autre pathologie.
La décoloration cutanée se produit lorsque les vaisseaux sanguins sous la surface du tissu cutané ne fonctionnent plus. Le vaisseau sanguin peut se contracter, et bloquer ainsi la circulation du sang sous la peau.

Habituellement, les troubles cardiaques qui entraînent une mauvaise circulation sanguine dans le corps peuvent conduire à ces taches de dentelle bleue ou pourpre sur la surface de la peau.
Dans la plupart des occasions, les taches dentelées bleues ou roses sur la peau pourraient être un signe alarmant d’une maladie quelconque.
Dans la plupart des cas, les patients qui ont une peau caractérisée par des taches dentelées bleues ou roses pourraient ne pas survivre, et même elles pourraient être une indication de la fin de la mort.
Typiquement, la marbrure peut se produire pendant la dernière semaine de la vie ou dans les dernières heures avant la mort.
Un patient qui est sur le point de mourir peut montrer divers changements corporels comprenant la peau marbrée, le déclin de la pression artérielle, le froid extrême sur la peau, le changement de la fréquence respiratoire, et une faible consommation de la nourriture et de l’eau.
La peau marbrée avant la mort peut ne pas causer aucune douleur au patient. Cependant, il peut ressentir un froid extrême dans son corps. Cela peut conduire à des frissons et des tremblements.
Pendant ce moment, les dispensateurs de soins peuvent aider à réconforter le patient en le couvrant avec des couvertures chaudes.
Si vous avez déjà des taches bleues ou pourpres sur la peau, ne vous inquiétez pas, parce que cela ne veut pas dire automatiquement que vous allez mourir prochainement.
La marbrure pourrait être la conséquence de plusieurs conditions bénignes telles que l’exposition prolongée et directe à la lumière du soleil ou l’exposition à un environnement extrêmement froid.
Généralement, le mot MORT pourrait vous effrayer si votre peau a des taches sous forme de dentelle. Cependant, il n’y a rien à craindre, la mort fait partie du cycle de la vie, et personne ne peut lui échapper une fois son temps est écoulé.
En tous les cas, continuez à lire pour savoir comment traiter ou résoudre le problème de la peau marbrée.
Signes et symptômes

La marbrure est associée à divers signes et symptômes qui incluent les suivants :
- Des taches de dentelle bleues, violettes, rouges ou roses sur la surface de la peau
- Un filet sombre sans douleur des taches sur les genoux, les pieds, les bras, et sur les autres parties du corps
- Les lèvres, les doigts, les lobes et les bases des ongles deviennent gris clair ou bleu
- Une sensation de froid extrême et de frissons corporels
- Des difficultés de respiration
- Augmentation de la fréquence cardiaque alors que la tension artérielle diminue sous la normale
- Une consommation réduite d’aliments et d’eau
- L’inconscience, mais le sens de l’ouïe est maintenu
- Le globe oculaire se tourne vers le bleu et la paupière peut s’ouvrir largement
Causes de la peau marbrée
La marbrure peut se produire en raison de diverses raisons ou facteurs. Certains de ces agents causals sont des facteurs naturels comme la mort que nous ne pouvons pas fuir à la fin de notre vie. Les éléments suivants incluent les facteurs possibles qui peuvent entraîner une peau marbrée :
1 – Des troubles circulatoires
Il existe de nombreux troubles circulatoires connus qui peuvent conduire à la formation de la peau marbrée.
Les troubles cardiaques comme l’hypotension peuvent entraîner une mauvaise circulation du sang dans le tissu cutané. Ceci conduit à la formation des taches dentelées bleues ou pourpres sur la surface de peau.
Le blocage des vaisseaux sanguins est causé par des caillots ou des varices, qui sont également des troubles circulatoires qui peuvent entraîner une mauvaise circulation du sang sous la surface de la peau.
Cela peut entraîner des taches bleues ou violettes qui apparaissent sur les jambes, les bras ou toute autre partie du corps.
2 – Une numération plaquettaire faible dans le sang
Les plaquettes sont des composants du sang dont la fonction est d’amorcer le processus de la coagulation sanguine après une blessure ou une coupure au niveau de la peau pour arrêter le saignement.
La peau marbrée est commune chez les individus qui ont un faible pourcentage de numération plaquettaire dans le sang.
3 – Le processus de vieillissement

Le processus de vieillissement est l’un des facteurs de risque qui peuvent favoriser la survenue de la peau marbrée. Ces taches bleues ou pourpres sur la peau sont plus communes chez les personnes âgées.
En vieillissant, le renouvellement cellulaire commence son déclin, alors ce type d’affection peut survenir sur la peau du sujet âgé.
Les troubles circulatoires comme l’hypotension et les caillots sanguins dans les vaisseaux deviennent fréquents avec l’âge, ce qui peut entraîner une décoloration cutanée.
En outre, le tissu de la peau lui-même peut se transformer en taches bleues, pourpres ou roses à cause du vieillissement.
4 – Les dégâts du soleil
Une longue et directe exposition de la peau à la lumière du soleil chez les adultes peut causer la marbrure. La lumière du soleil contient des rayons UV nocifs, qui peuvent causer des dégâts aigus ou chroniques aux cellules de la peau.
Les taches bleues au niveau dermique peuvent traduire une mauvaise exposition aux rayons UV.
5 – Le traitement par un anticoagulant
Les personnes qui sont sous un traitement anticoagulant peuvent remarquer le développement de taches colorées sur diverses parties de leur corps.
Certains médicaments anticoagulants utilisés pour prévenir la coagulation du sang dans les vaisseaux peuvent entraîner l’effet secondaire, qui est l’apparition des taches irrégulières bleues ou pourpres sur la peau.
6 – Un système circulatoire sous-développé
La peau marbrée chez les bébés ou les nourrissons peut apparaître en raison d’un système circulatoire (système vasculaire) sous-développé. La marbrure cutanée est une affection dermique chez les bébés ou les nourrissons caractérisés par des taches en dentelle bleue ou violette.
La peau marbrée chez les bébés est une condition anormale et peut même sembler inquiétante pour les parents. Pour ce cas, il n’y a rien à craindre parce que cette condition chez les nouveau-nés est inoffensive et peut disparaître avec le temps, pendant que votre enfant continue à grandir.
7 – Un environnement froid
Le froid extrême est un autre facteur qui peut encourager la peau marbrée. La température basse peut causer la constriction des vaisseaux sanguins sous la peau.

Cela pourrait entraîner une mauvaise circulation du sang sur la surface de la peau d’où la survenue de ces taches roses ou violettes.
Les taches cutanées sont fréquentes chez les personnes qui résident dans des conditions environnementales extrêmement froides.
Durant l’hiver dans l’hémisphère Sud qui est associé à une température très basse, le froid extrême peut exercer un stress sur la peau. Cela peut conduire à la marbrure.
8 – Diverses conditions corporelles sous-jacentes
D’autres pathologies sous-jacentes peuvent aussi provoquer des taches cutanées. Par exemple on cite ; le cancer du sein, la tuberculose, l’hépatite C, le syndrome de Sneddon, la maladie de Parkinson, et la carence en nutriments (dénutrition).
Peau marbrée chez le bébé
Si vous remarquez le développement de la peau marbrée sur la peau de votre bébé, ne vous inquiétez pas.
Habituellement, chez les nouveau-nés, les nourrissons ou les bambins ces taches peuvent se produire en raison de diverses raisons qui ne nécessitent même pas un traitement médical. La marbrure chez les nouveau-nés peut disparaître avec le temps.
Une peau de bébé peut développer des taches irrégulières pourpres, bleues, roses ou rouges sur les jambes, les bras ou sur toute autre partie du corps. Occasionnellement, cette condition peut affecter la peau du corps entier d’un nouveau-né avec des taches bleues ou pourpres donnant au bébé un aspect bleu.

Pour le cas de la peau marbrée chez le bébé, il arrive en raison du déclin du flux sanguin vers le tissu cutané.
Le système circulatoire sous-développé chez les nourrissons est l’une des principales raisons qui peuvent entraîner une réduction du débit sanguin sous la peau, et ainsi une dénutrition du tissu dermique.
La marbrure peut également apparaître chez les nouveau-nés peu après l’accouchement. Pour cette situation, des taches bleues sur la peau pourraient apparaître à cause des blessures ou coupures des vaisseaux sanguins existants sous la surface de la peau.
Des lésions cutanées peuvent se produire pendant le processus de donner naissance.
Ce processus naturel peut entraîner une pression sur la peau des nouveau-nés. Ceci est courant surtout s’il y a une complication de naissance qui peut conduire à un retard d’accouchement.
Les bébés qui sont nés avec des taches bleues sur la peau sont très sains et ces marques peuvent disparaître après quelques jours.
Le froid extrême est un autre facteur qui peut conduire à la peau marbrée chez les nourrissons et les tout-petits bambins. La basse température peut entraîner une vasoconstriction des capillaires sanguins sous la surface de la peau.
Le rétrécissement des capillaires peut se traduire par le déclin de l’approvisionnement en sang dans le tissu dermique, et ainsi il peut mener à une décoloration de la peau.
Occasionnellement, les nourrissons qui sont nés avec des troubles circulatoires peuvent avoir la peau marbrée, et dans ce cas, cette condition n’ira pas facilement.
Les nouveau-nés avec des problèmes ou des malformations cardiaques tels que le septum interventriculaire, peuvent développer cette condition (marbrure) qui peut être difficile à traiter à moins que le traitement soit administré.
Le septum interventriculaire dans le muscle cardiaque est un trouble circulatoire grave qui peut conduire à la mort si le traitement n’est pas bien administré. Cette pathologie peut causer le mélange du sang qui contient l’oxygène avec le sang qui contient le dioxyde de carbone.
Cela peut provoquer une carence en oxygène dans le corps, ainsi le tissu devient mal nourri et prend une couleur bleue.
En conclusion :
Généralement, comme les bébés continuent à grandir, la peau marbrée disparaît progressivement. Au fur et à mesure que votre bébé continue à se développer, son système circulatoire devient plus mature, ce qui permet une bonne distribution du sang à toutes les parties du corps.
Quand faut-il consulter un médecin ?
Il est conseillé de voir un médecin concernant la peau marbrée lorsque vous remarquez les conditions suivantes :
- Lorsque la décoloration sur la peau ne disparaît pas facilement
- Lorsque la peau marbrée est accompagnée d’autres signes et symptômes étranges qui vous inquiète
- Si la décoloration se développe en des bosses étranges et des ulcères douloureux
- Si votre bébé a des taches en dentelles bleues ou violettes sur la peau qui provoque votre inquiétude.
- Lorsque les taches bleues sont douloureuses et menacent votre état de santé ainsi que votre pronostic vital

Rédactrice spécialisée dans le domaine de la santé en général, depuis 2016. Elle a de l’expérience dans la rédaction d’actualités et de reportages sur la santé.


Merci pour ces infos 🙂